Ile kosztują implanty górnej szczęki?
Implanty górnej szczęki to popularne rozwiązanie dla osób, które straciły zęby i pragną przywrócić pełną funkcjonalność swojego uzębienia. Koszt implantów w Polsce może się znacznie różnić w zależności od wielu czynników, takich jak lokalizacja gabinetu stomatologicznego, doświadczenie lekarza oraz zastosowane materiały. W dużych miastach, takich jak Warszawa czy Kraków, ceny mogą być wyższe niż w mniejszych miejscowościach. Średni koszt jednego implantu górnej szczęki w Polsce wynosi zazwyczaj od 3000 do 6000 złotych. Warto jednak pamiętać, że cena ta często nie obejmuje wszystkich dodatkowych procedur, takich jak diagnostyka, tomografia komputerowa czy zabiegi przygotowawcze, które mogą być niezbędne przed wszczepieniem implantu. Dlatego przed podjęciem decyzji o leczeniu warto dokładnie zapoznać się z ofertą różnych klinik oraz porównać ceny i zakres usług.
Czynniki wpływające na cenę implantów górnej szczęki
Kiedy zastanawiamy się nad tym, ile kosztują implanty górnej szczęki, warto zwrócić uwagę na kilka kluczowych czynników, które mogą znacząco wpłynąć na ostateczną cenę. Po pierwsze, rodzaj implantu ma ogromne znaczenie. Na rynku dostępne są różne marki i modele implantów, które różnią się jakością oraz ceną. Wybór renomowanego producenta może wiązać się z wyższymi kosztami, ale często przekłada się na lepszą trwałość i mniejsze ryzyko powikłań. Kolejnym czynnikiem jest stan zdrowia pacjenta oraz stopień skomplikowania zabiegu. W przypadku pacjentów z problemami zdrowotnymi lub złożonymi przypadkami, takimi jak brak kości w szczęce, konieczne mogą być dodatkowe zabiegi, co zwiększa całkowity koszt leczenia. Również lokalizacja kliniki oraz jej renoma mogą wpływać na ceny usług stomatologicznych.
Jakie są dodatkowe koszty związane z implantami górnej szczęki?

Decydując się na implanty górnej szczęki, należy pamiętać, że całkowity koszt leczenia nie ogranicza się jedynie do ceny samego implantu. Istnieje wiele dodatkowych wydatków, które mogą pojawić się w trakcie całego procesu leczenia. Przede wszystkim warto uwzględnić koszty diagnostyki, takie jak zdjęcia rentgenowskie czy tomografia komputerowa, które są niezbędne do oceny stanu kości i planowania zabiegu. Ponadto pacjenci często muszą liczyć się z wydatkami na konsultacje lekarskie oraz ewentualne zabiegi przygotowawcze, takie jak augmentacja kości czy sinus lifting. Te procedury są czasami konieczne przed wszczepieniem implantu i mogą znacznie zwiększyć całkowity koszt leczenia. Dodatkowo po wszczepieniu implantu mogą wystąpić koszty związane z protetyką, czyli wykonaniem korony lub mostu na implancie.
Jakie są zalety i wady implantów górnej szczęki?
Implanty górnej szczęki mają wiele zalet, które przyciągają pacjentów do tego rodzaju leczenia stomatologicznego. Przede wszystkim zapewniają one trwałe i estetyczne rozwiązanie dla osób z brakami w uzębieniu. Dzięki implantom można przywrócić naturalny wygląd uśmiechu oraz poprawić funkcjonalność żucia. Co więcej, implanty są stabilniejsze niż tradycyjne protezy ruchome i nie wymagają stosowania klejów ani innych środków mocujących. Jednakże istnieją również pewne wady związane z tym rozwiązaniem. Proces wszczepienia implantu jest chirurgiczny i może wiązać się z bólem oraz dłuższym czasem rekonwalescencji. Dodatkowo nie każdy pacjent jest odpowiednim kandydatem do zabiegu – osoby z chorobami przyzębia czy niewystarczającą ilością kości mogą potrzebować dodatkowych zabiegów przed wszczepieniem implantu.
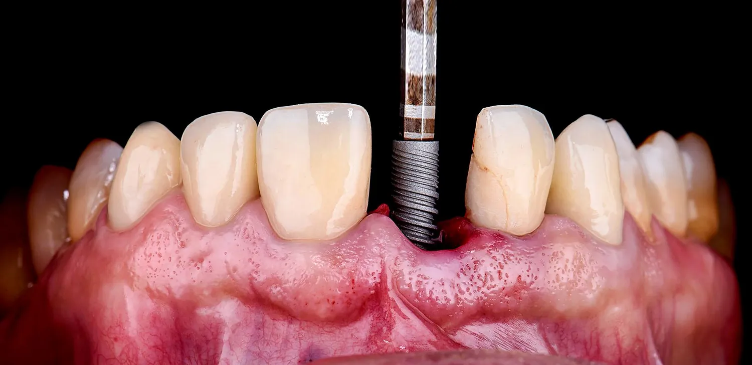
Jak przebiega proces wszczepienia implantów górnej szczęki?
Proces wszczepienia implantów górnej szczęki składa się z kilku kluczowych etapów, które są niezbędne do zapewnienia sukcesu całego leczenia. Na początku pacjent przechodzi dokładną diagnostykę, która obejmuje badania obrazowe oraz konsultacje z lekarzem stomatologiem. W zależności od stanu zdrowia pacjenta oraz ilości dostępnej kości, lekarz może zaproponować dodatkowe zabiegi przygotowawcze, takie jak augmentacja kości. Po zakończeniu etapu przygotowawczego następuje właściwe wszczepienie implantu. W trakcie tego zabiegu chirurg wykonuje nacięcie w dziąśle i umieszcza implant w kości szczęki. Po wszczepieniu implantu konieczny jest czas na gojenie, który zazwyczaj trwa od kilku tygodni do kilku miesięcy. W tym czasie implant integruje się z kością, co jest kluczowe dla jego stabilności. Po zakończeniu procesu gojenia następuje etap protetyczny, podczas którego na implancie mocowana jest korona lub mostek.
Czy implanty górnej szczęki są bezpieczne dla zdrowia?
Bezpieczeństwo implantów górnej szczęki to kwestia, która często budzi obawy u pacjentów rozważających to rozwiązanie. Ogólnie rzecz biorąc, implanty są uznawane za bezpieczne i skuteczne, a ich stosowanie ma długą historię w stomatologii. Warto jednak pamiętać, że jak każdy zabieg chirurgiczny, również wszczepienie implantu wiąże się z pewnym ryzykiem. Najczęściej występującymi powikłaniami są infekcje w miejscu wszczepienia, problemy z gojeniem oraz reakcje alergiczne na materiały użyte do produkcji implantu. Dlatego niezwykle ważne jest, aby wybierać renomowane kliniki stomatologiczne oraz doświadczonych specjalistów, którzy przeprowadzą dokładną ocenę stanu zdrowia pacjenta przed przystąpieniem do zabiegu. Dobrze jest również przestrzegać wszystkich zaleceń lekarza dotyczących pielęgnacji jamy ustnej po wszczepieniu implantu, co może znacznie zmniejszyć ryzyko wystąpienia powikłań.
Jak długo utrzymują się implanty górnej szczęki?
Jednym z najczęściej zadawanych pytań przez pacjentów jest to, jak długo mogą cieszyć się efektami leczenia implantologicznego. Implanty górnej szczęki mają potencjał do utrzymywania się przez wiele lat, a nawet przez całe życie, pod warunkiem odpowiedniej pielęgnacji i regularnych wizyt kontrolnych u stomatologa. Kluczowym czynnikiem wpływającym na trwałość implantów jest jakość kości oraz sposób ich osadzenia. Jeśli implant został prawidłowo wszczepiony i dobrze zintegrowany z kością, istnieje duża szansa na jego długotrwałe funkcjonowanie. Należy jednak pamiętać o regularnym dbaniu o higienę jamy ustnej oraz unikaniu nawyków mogących negatywnie wpłynąć na stan zdrowia zębów i dziąseł, takich jak palenie papierosów czy nadmierne spożycie alkoholu. Regularne kontrole u dentysty pozwalają na wczesne wykrycie ewentualnych problemów i podjęcie odpowiednich działań w celu ich rozwiązania.
Jakie są alternatywy dla implantów górnej szczęki?
Dla osób rozważających leczenie braków w uzębieniu istnieją różne alternatywy dla implantów górnej szczęki. Jednym z najpopularniejszych rozwiązań są protezy ruchome, które można łatwo zakładać i zdejmować. Protezy te są tańszą opcją niż implanty, ale mogą być mniej komfortowe i stabilne podczas jedzenia czy mówienia. Inną alternatywą są mosty protetyczne, które opierają się na zdrowych zębach znajdujących się obok brakujących zębów. Mosty mogą być estetyczne i funkcjonalne, ale wymagają szlifowania sąsiednich zębów, co może osłabić ich strukturę. Istnieją także nowoczesne rozwiązania takie jak mini-implanty czy systemy All-on-4, które pozwalają na zamocowanie protezy na kilku implantach zamiast pojedynczych sztuk.
Jak przygotować się do zabiegu wszczepienia implantów górnej szczęki?
Przygotowanie do zabiegu wszczepienia implantów górnej szczęki jest kluczowym krokiem w procesie leczenia i może znacząco wpłynąć na jego powodzenie. Na początku warto przeprowadzić dokładną diagnostykę stomatologiczną oraz ocenić stan zdrowia ogólnego pacjenta. Lekarz powinien zebrać szczegółowy wywiad medyczny oraz wykonać zdjęcia rentgenowskie lub tomografię komputerową w celu oceny struktury kości i planowania zabiegu. Przed samym zabiegiem pacjent powinien unikać palenia tytoniu oraz alkoholu przez kilka dni, ponieważ substancje te mogą negatywnie wpłynąć na proces gojenia pooperacyjnego. Ważne jest również przestrzeganie zaleceń dotyczących diety – zaleca się spożywanie lekkostrawnych posiłków przed zabiegiem oraz unikanie jedzenia tuż przed wizytą u dentysty.
Jak wygląda rehabilitacja po wszczepieniu implantów górnej szczęki?
Rehabilitacja po wszczepieniu implantów górnej szczęki jest istotnym etapem całego procesu leczenia i ma kluczowe znaczenie dla osiągnięcia optymalnych rezultatów. Bezpośrednio po zabiegu pacjent może odczuwać dyskomfort lub ból w okolicy wszczepionego implantu; lekarz zazwyczaj przepisuje leki przeciwbólowe oraz antybiotyki w celu minimalizacji ryzyka infekcji. W pierwszych dniach po operacji zaleca się stosowanie zimnych okładów na twarz oraz unikanie intensywnego wysiłku fizycznego. Ważne jest również przestrzeganie zasad higieny jamy ustnej – należy delikatnie myć zęby i unikać dotykania miejsca operacji przez kilka dni po zabiegu. Regularne wizyty kontrolne u stomatologa pozwalają na monitorowanie procesu gojenia oraz ewentualne wykrycie problemów we wczesnym stadium.




